Ein neues Lächeln, das von Herzen kommt – sicher, sanft, erstklassig
Moderne Implantologie in Budapest, begleitet von persönlichem Service und umfassender Betreuung.
Besonders günstiges Angebot für Implantate bis zum 31. Mai
Zahnersatz oder eine vollständige Versorgung – ganz ohne Kompromisse?
Ja, das ist möglich.
Klingen zwei oder mehr Vorteile nach dem, was Sie sich wünschen? Dann könnten Implantate genau die richtige Wahl für Sie sein.
Jezt Anfragen
Evergreen Dental in Budapest: 6 Vorteile auf einen Blick
Zentrale Lage & einfache Anreise
Schmerzfreie Behandlung: Sedierung & Vollnarkose
Premium-Implantatmarken
Modernste Technologie & 3D-Planung
Rundum-sorglos Service
Deutschsprachige Betreuung & Übersetzung
Zentrale Lage & einfache Anreise
Schmerzfreie Behandlung: Sedierung & Vollnarkose
Premium-Implantatmarken
Modernste Technologie & 3D-Planung
Rundum-sorglos Service
Deutschsprachige Betreuung & Übersetzung
Was ist ein Zahnimplantat – und für wen eignet es sich?
Ein Zahnimplantat ist eine künstliche Zahnwurzel aus Titan, die einen verlorenen Zahn ersetzt.
WICHTIG: Titan wird vom Körper sehr gut vertragen – auch bei Metallallergien.
Implantate sind eine hervorragende Lösung bei einzelnen Zahnlücken, größeren Lücken oder sogar völliger Zahnlosigkeit.
Unsere Zahnärzte arbeiten mit modernster Technologie und hoher Expertise, um eine natürliche Ästhetik und maximalen Komfort zu gewährleisten.





Zahnimplantate
Vollnarkose
zufriedene Patienten
Qualität
Ihr sanfter und sicherer Weg zum neuen Implantat
Kontakt
Echte Geschichten. Sichtbare Ergebnisse.
Eine der besten Erfahrungen die ich mit einer Zahnarztpraxis gemacht habe. Das Team und der Arzt sind sehr freundlich und hilfsbereit. Es wird einem nichts aufgedrängt wenn alles in Ordnung ist. Einen Termin bekommt man auch zeitnah.
In Deutschland Versicherte können die Behandlung sogar von der deutschen Krankenkasse absetzten. Werde sehr gerne wieder kommen!
J. B. – August, 2025
Das beste was mir je passiert ist!!!
Ich hatte immer absolute Panik vor Zahnärzten, was zu einer unhaltbaren Situation geführt hat. Ich hab am sozialen Leben nicht mehr teilnehmen wollen und mich komplett isoliert.
Durch das Einfühlungsvermögen bei Evergreen Dental, hatte ich vom ersten Moment an das Gefühl in den besten Händen zu sein.
Das Ergebnis ist grossartig und ich freue mich auf das neue „normale“ Leben.
Danke an das ganze Evergreen Dental Team
Topsie Cret – Januar, 2025
Ich habe oben und unten Implantate gemacht. Zudem oben 10 Zähne entfernen müssen. Alles Tip Top gemacht. Chirurg und Zahnärtzin haben mich sehr gut beraten und während allen Behandlungen auf mich eingegangen . Das ganze Personal ist sehr freundlich und kompetent. Sprechen alle auch gut Deutsch, oder es wird in Deutsch übersetzt. Rechnungen stimmten immer mit dem Kostenvorschlag überein. Man kann dieser Klinik Vertrauen. Auch die Nach Kontrollen immer korrekt erledigt. Wird nur das gemacht, was nötig ist. Ebenfalls ein Lob an das Empfangsperonal.
Kurt Gallati – Oktober, 2025
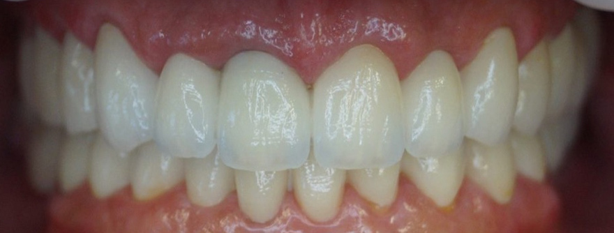
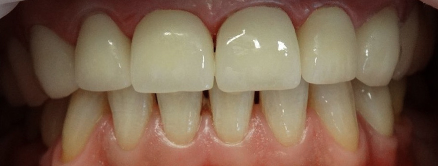
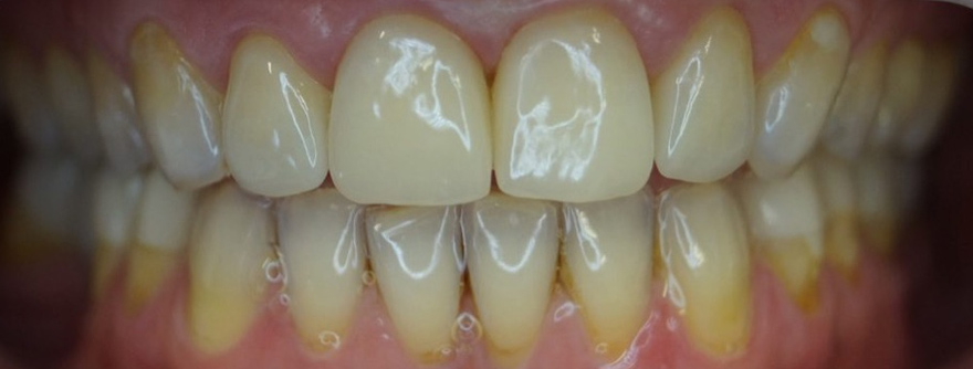
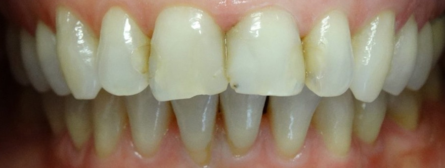
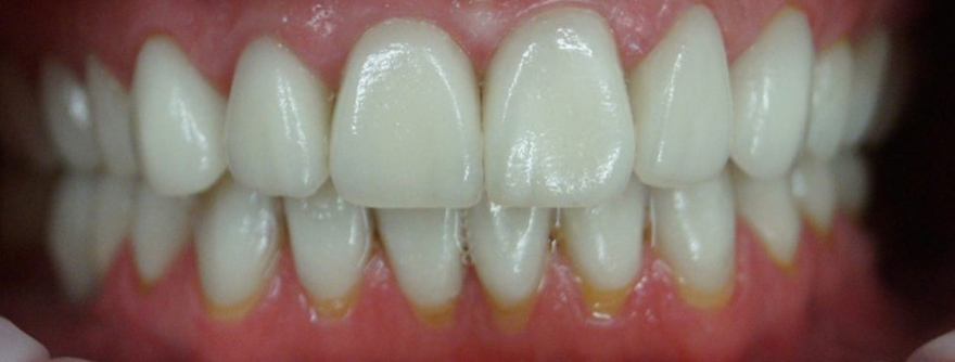
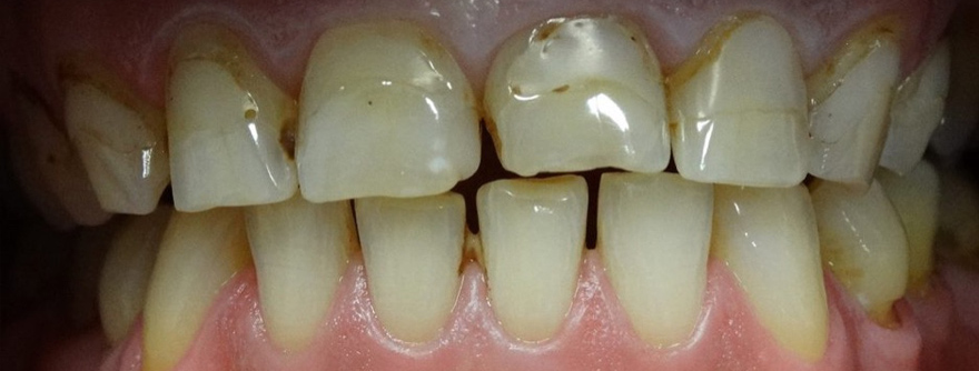
Vorher – Nachher Fotos
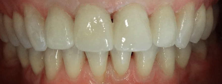
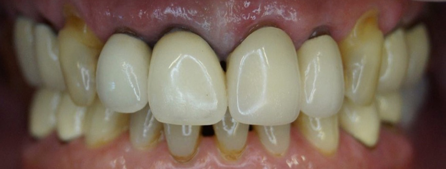
Manuela V. (D)
28 Zirkonkronen, 10 Tage
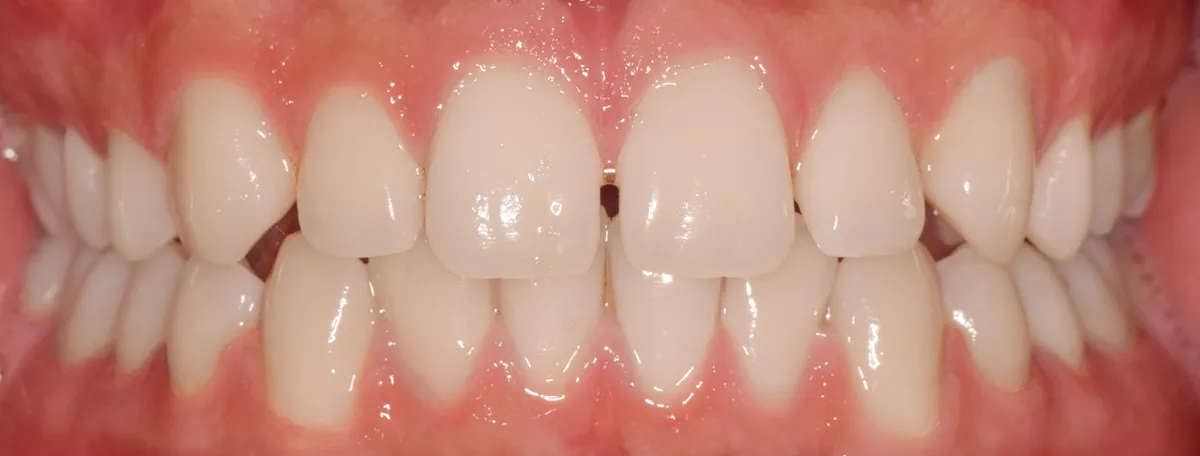
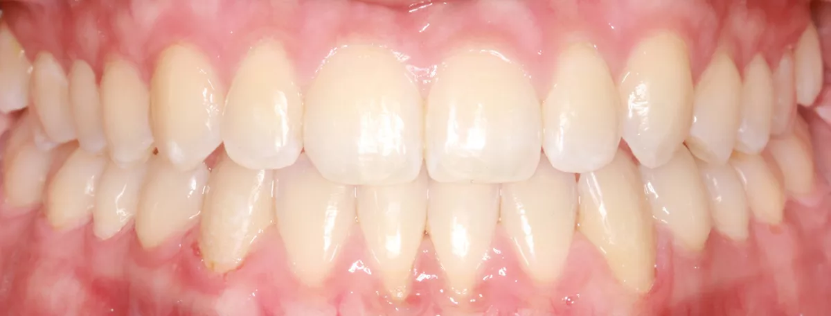
Veronika E. (D)
28 e.Max-Vollkeramikkronen, 10 Tage
Paul R. (D)
12 Zirkonkronen, 5 Tage
Michael P. (CH)
4 e.Max Porzellan Veneers, 5 Tage
Anna K. (H)
SPARK™ Aligner; 32 Wochen
Louis D. (UK)
Spark™ Aligner; 39 Wochen
Weitere vorher nachher Fotos anzeigen

Zahnersatz mit Implantaten – wie funktioniert das?
Ein vollständiger Zahnersatz ist nötig, wenn viele Zähne fehlen und die Kaufunktion wiederhergestellt werden muss. Bei Evergreen Dental lässt sich dies meist in ein bis zwei Besuchen lösen.
In der Regel erfolgt zuerst das Setzen der Implantate, danach – in einem zweiten Termin – die endgültige Versorgung. Nur wenn zuvor ein Knochenaufbau nötig ist, kann ein zusätzlicher Besuch erforderlich sein.
Mehrere Implantate mit Kronen oder Brücken
Implantate eignen sich nicht nur für einzelne Kronen, sondern auch für größere Versorgungen. Mehrere Implantate können eine Implantatbrücke tragen – z. B. zwei Implantate für eine 3–4-gliedrige Brücke.
Je nach Ausgangssituation kommen Einzelkronen, mehrere Implantate oder eine Kombination beider Lösungen infrage.
Fehlen viele Ihrer Zähne?
Dann könnte eine vollständige Zahnsanierung die richtige Lösung sein – für stabile Kaufunktion und ein unbeschwertes, natürliches Lächeln.

Ein Schritt näher zu Ihrem vollständigen Lächeln
Individueller, kostenloser Plan per E-Mail – innerhalb von 24 Stunden.

All-on-4™ Zahnimplantate – die feste Lösung auf nur vier Implantaten
Zahnersatzlösungen – als Paket für Sie zusammengestellt
Der erste Schritt zu Ihrer idealen Versorgung
In der Zahnmedizin gibt es fast immer mehrere Wege. Bei einer gebührenfreien Voruntersuchung erfahren Sie genau, welche Lösung für Sie sinnvoll ist.
Bevor wir mit einer Zahnsanierung starten, nehmen wir uns Zeit für ein persönliches Kennenlernen – damit wir gemeinsam die beste, langfristig komfortable Lösung wählen können.
Eine sorgfältig geplante Versorgung prägt Ihr Wohlbefinden über viele Jahre.



Einfühlsame Profis, die Sie durch den gesamten Prozess begleiten
Bei Evergreen Dental arbeiten erfahrene Spezialisten Hand in Hand, damit Sie jederzeit die bestmögliche Betreuung erhalten.
Unser gesamtes Team sorgt dafür, dass Sie sich während Ihrer Behandlung wohl, sicher und gut aufgehoben fühlen.
Besuchen Sie uns – und erleben Sie professionelle, individuell abgestimmte Betreuung.
Fragen & Antworten
Wir erhalten täglich zahlreiche Fragen – die wichtigsten haben wir hier für Sie übersichtlich zusammengestellt. So finden Sie schnell die Infos, die Sie brauchen.
Und wenn etwas offenbleibt, erreichen Sie uns jederzeit gern persönlich.

AT
EN
DE
CH









